Ortodontia

A nossa equipa de Ortodontia proporciona cuidados abrangentes para todas as idades, desde intervenções precoces até tratamentos cirúrgicos complexos. Especializados em aparelhos invisíveis, contamos com mais de 500 casos tratados com sucesso.

A nossa equipa de Ortodontia atende pacientes de todas as idades, desde crianças a adultos. O vasto conhecimento dos nossos profissionais abrange desde tratamentos de intervenção precoce com aparelhos funcionais até casos cirúrgicos complexos. Além disso, oferecemos tratamentos de aparelhos invisíveis, e mantemo-nos atualizados com as técnicas e tecnologias mais inovadoras na área. Com um histórico de sucesso que inclui o tratamento de mais de 500 casos ortodônticos, proporcionamos cuidados de alta qualidade, inclusive em reabilitações complexas que envolvem cirurgia ortognática.

antes // depois

caso-2-antes caso-2-depois
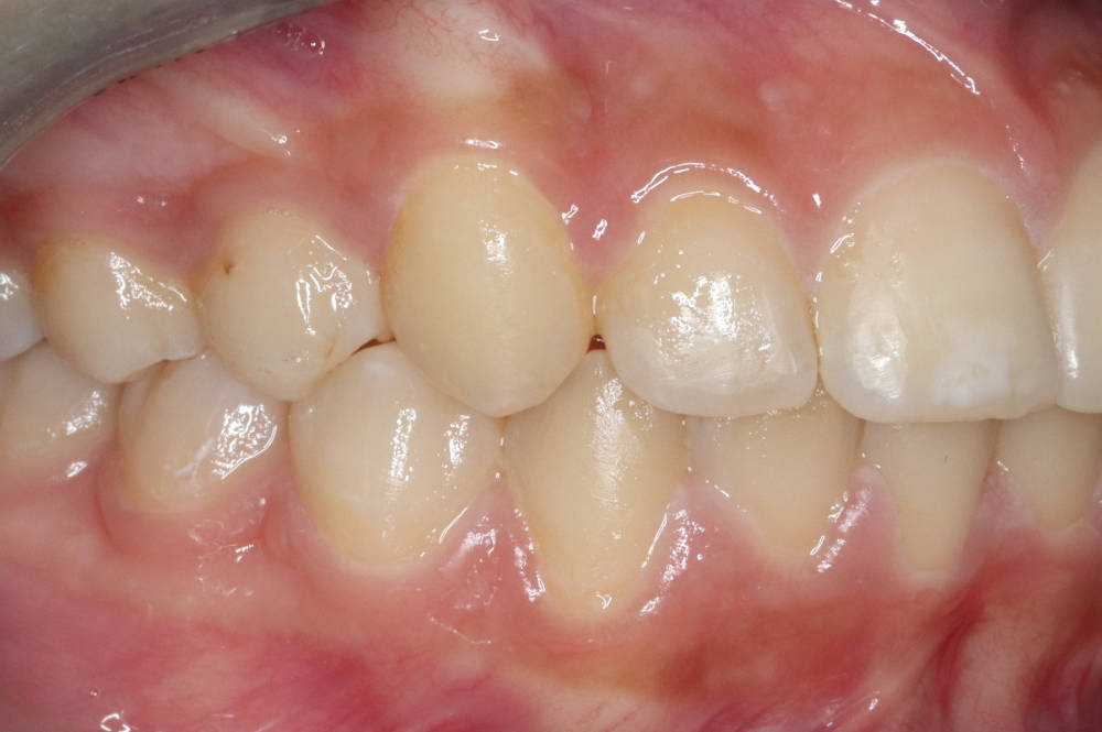
ortodontia-caso1-antes ortodontia-caso1-depois
Implantologia e Reabilitação Oral

Na nossa clínica, especializamo-nos em Implantologia e Reabilitação Oral, utilizando implantes dentários e próteses personalizadas para transformar sorrisos e vidas.

A nossa clínica oferece serviços especializados em Implantologia e Reabilitação Oral, visando a restauração e reforço da saúde bucal dos nossos pacientes. A Implantologia envolve a colocação de implantes dentários como substitutos de dentes ausentes ou danificados, permitindo a recuperação da função mastigatória e estética. A Reabilitação Oral abrange a criação de próteses personalizadas para restaurar a função oral.

Medicina Dentária Pediátrica

Na Medicina Dentária Pediátrica, proporcionamos monitorização ortodôntica, tratamento de cáries, e medidas preventivas para garantir sorrisos saudáveis. A educação sobre higiene oral completa o nosso compromisso com o bem-estar oral das crianças.

Oferecemos uma ampla gama de serviços na Medicina Dentária Pediátrica, incluindo a monitorização ortodôntica preventiva, o tratamento de cáries, mesmo nos dentes de leite, e a aplicação tópica de flúor e selantes de fissura para prevenir problemas futuros. Além disso, ensinamos às crianças a importância da saúde oral, como lavar e escovar os dentes adequadamente, e realizamos o controlo da placa bacteriana e profilaxia. O nosso objetivo é garantir que os mais jovens desfrutem de sorrisos saudáveis e felizes à medida que crescem.

Harmonização facial

Na Viviere, conte com serviços em Harmonização Facial, com tratamentos avançados como Botox e Ácido Hialurónico. Com uma abordagem personalizada, realçamos a beleza natural, oferecendo resultados duradouros garantidos por profissionais altamente qualificados.

Na Viviere, dedicamo-nos à Estética Facial, proporcionando tratamentos avançados de harmonização facial como, por exemplo, aplicação de Botox e preenchimento com Ácido Hialurónico. Com uma abordagem personalizada, ajudamos os pacientes a realçar a sua beleza natural, reduzir rugas, restaurar a firmeza da pele, entre outros. Os nossos profissionais altamente qualificados realizam procedimentos seguros para garantir resultados naturais e duradouros. Além disso, oferecemos uma variedade de tratamentos estéticos faciais e capilares, contribuindo para a confiança e satisfação dos nossos pacientes.

antes // depois

caso-2-hf-antes caso-2-hf-depois
Análises Clínicas e Enfermagem

As análises clínicas, também conhecidas como exames laboratoriais, são um conjunto de procedimentos diagnósticos realizados nos nossos laboratórios que tem como objetivo auxiliar na detecção, diagnóstico e monitoramento de doenças. Esses exames são fundamentais para a avaliação do seu estado de saúde.

Medicina Geral e Familiar

A área de Medicina Geral e Familiar oferece um acompanhamento da saúde dos pacientes de qualquer idade a longo prazo. Na Viviere, o nosso profissional é ainda certificado em Avaliação do Dano na Pessoa, serviço essencial para obter Atestados Médicos de Incapacidade Multiusos.

Na Viviere, a Medicina Geral e Familiar vai além do tratamento de doenças comuns, abrangendo uma abordagem 360º para o cuidado da saúde de toda a família, a longo prazo. Além dos cuidados primários, oferecemos serviços especializados, como a Consulta de Avaliação do Dano na Pessoa. Esta consulta é projetada para avaliar a incapacidade em diversos domínios que compõem o indivíduo, adotando uma abordagem tridimensional que considera as capacidades funcionais, situações de vida e aspetos biológicos.

Medicina interna

A Medicina Interna oferece uma abordagem integradora para o tratamento de múltiplas condições, incluindo insuficiência cardíaca, hipertensão, doenças respiratórias e demências. Conte com cuidados abrangentes para uma gestão terapêutica personalizada.

Na nossa clínica, a Medicina Interna proporciona uma abordagem global e integradora para a prevenção, diagnóstico e tratamento de doentes com múltiplas doenças que afetam diversos órgãos e sistemas. O foco das consultas de Medicina Interna na Viviere são em insuficiência cardíaca, risco cardiovascular, hipertensão arterial, doença renal crónica, doenças respiratórias, patologias respiratórias agudas, doenças infecciosas, demências e apoio domiciliário. Oferecemos cuidados multidisciplinares e abrangentes para atender às necessidades dos nossos pacientes, garantindo uma gestão terapêutica eficaz e personalizada.

Nutrição

Consultas de nutrição para diversas necessidades, incluindo perda de peso, gestão de alergias, cuidados cardiovasculares e nutrição infantil. Orientação personalizada para alcançar objetivos de saúde eficazes.

Oferecemos consultas de nutrição especializadas para uma variedade de necessidades de saúde. Os nossos serviços abrangem perda de peso, nutrição durante a gravidez, nutrição para atletas, gestão de alergias e intolerâncias alimentares, apoio nutricional em distúrbios alimentares, problemas gastrointestinais, condições cardiovasculares como a hipertensão, doenças oncológicas e cuidados de nutrição infantil. A nossa equipa qualificada está empenhada na orientação personalizada para auxiliar os pacientes a atingir os seus objetivos de saúde e nutrição de forma eficaz e saudável.

Psicologia

As nossas consultas de Psicologia Clínica usam uma abordagem única, incluindo Psicoterapias Dinâmicas e Brincar Psicoterapêutico para crianças. Para adultos, garantimos uma abordagem personalizada, promovendo saúde mental e bem-estar emocional.

Na Viviere, a Dra. Marta Costa oferece uma abordagem única na Psicologia Clínica, com recurso às Psicoterapias Dinâmicas, sendo uma das poucas especialistas na cidade. Na terapia com crianças, adotamos o Brincar Psicoterapêutico, uma abordagem menos comum que envolve jogos terapêuticos, aliado ao aconselhamento parental. A Dra. Marta Costa também é especializada em Medicina Psicossomática, oferecendo consultas de preparação para o nascimento de grávidas e apoio aos pais de bebés. Quando se trata de adultos, a nossa abordagem é altamente personalizada, trabalhando de perto com cada paciente para compreender os sintomas e descobrir a sua função, de modo a promover a resolução de problemas. A nossa equipa está empenhada em ajudar os nossos pacientes a alcançar uma saúde mental plena e bem-estar emocional.

Terapia da fala

Na Viviere, dispomos de consultas de Terapia da Fala e Miofuncional para crianças e adultos, abrangendo desde dificuldades de comunicação até reabilitação pós-cirurgia, incluindo casos de AVC, traumatismo craniano e doenças neurodegenerativas. Encontre cuidados especializados para melhorar a sua qualidade de vida.

Na Viviere, pode usufruir de consultas de Terapia da Fala e Terapia Miofuncional. A Terapia da Fala é fundamental para crianças e adultos com dificuldades de comunicação, mastigação e deglutição. Abordamos problemas de articulação, atrasos na linguagem, distúrbios da fluência como a gaguez, distúrbios da voz e reabilitação após cirurgia de cabeça e pescoço. Além disso, oferecemos apoio em casos de perda de linguagem, alterações na fala e motricidade orofacial, distúrbios vocais e dificuldades de deglutição devido a várias condições médicas, incluindo acidente vascular cerebral, traumatismo craniano e doenças neurodegenerativas como a doença de Parkinson e demência.